Steps you can take at home to prevent and reverse gingivitis include. Formulated with anti-plaque anti-gingivitis essential oils this ADA accepted mouthwash helps kill harmful bacteria in your mouth that can lead to gingivitis or gum disease.
![]()
6 Ways To Keep Your Gums Healthy

Gingivitis Treatment For Sensitive Teeth Sensodyne

Periodontitis Treatment Home Remedies And Symptoms
Oral rinses that contain zero chemicals and sweeteners are my favorites.

How long to reverse gingivitis. It doesnt reverse the effects of tooth decay. There are two main types of gum disease. Gingivitis can be reversible as long as the causes of the early stage gum disease gingivitis are identified and the person is persistent in improving their oral hygiene and seeking necessary treatment when needed.
An average Pomeranian reverse sneezing episode lasts a few seconds but some dogs have it for a few minutes and several times each day. Your gums should get better within a week or so as long as you brush. Use a soft toothbrush and replace it at least every three to four months.
PLAQUE is a bacterium that is collecting onto teeth and gums. Gingivitis gum disease may happen potentially causing early Pomeranian tooth loss. Oral cavity harbors billions of microorganisms some of these contribute to the development or progression of systemic diseases such as cardiovascular disease diabetes mellitus etc.
Reverse Receding Gums to stopping the long in the tooth effect. Levels at 7 is considered the target for glycemic control and has been associated with fewer long-term complications. Gingivitis is reversible says Dr.
Quickly Reduce Plaque builds up. You can use it twice daily for maximum effectiveness if your gum disease is in the late-stage. But i bought it anyways along with some reversing gingivitis tooth paste.
The dentist did the best he could. Miracle Mouthwash is one of them. Listerine may be more popular but Ill rate this mouthwash above Listerine.
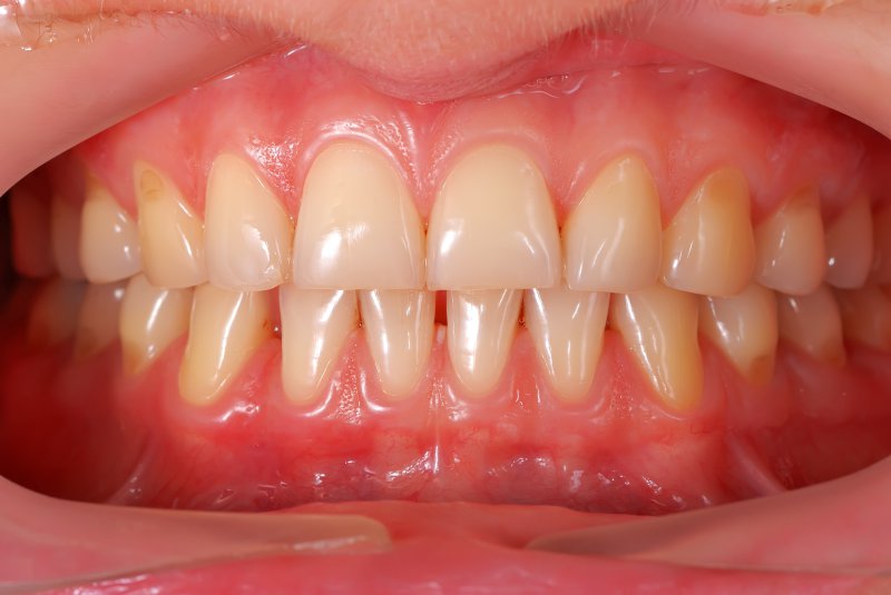
Parodontax Active Gum Repair is a daily toothpaste formulated to help reverse signs of early gum damage by targeting plaque the main cause of gum problems. Gingivitis is characterized by redness and swelling in the gum tissue bleeding while brushing the teeth tenderness or pain in the gums a bad taste in the mouth bad breath formation of pus between the teeth and gums and more. The primary cause of gingivitis is poor oral hygiene which leads to the accumulation of bacterial matrix at the gum line called dental plaque.
In some patients it can increase the build-up of dental tartar. The prognosis for gingivitis is best if. Periodontal Disease Pictures If you suspect you have gum disease and are experiencing some of its symptoms such as sore gums it may help to compare your gums to the pictures of healthy gums and gum disease below from gingivitis to advanced periodontitisIf your gums look like theyre in the early stages of gum disease bring it to the attention of your dentist and hygienist at your next visit.
The good news is that you can reverse signs of gingivitis improve your oral health and whiten your teeth with Paradontax one of the only whitening toothpastes available that protects the seal between your teeth and gums preventing the bleeding thats so often a symptom of gingivitis. Coconut oil has long been claimed to clean your teeth and improve dental health. Here are a few to watch out for.
Help reduce plaque build-up. Acute necrotizing ulcerative gingivitis Acute necrotizing ulcerative gingivitis is a gum infection that is also known as trench mouth. I have had problems with my gums for long time this year it got really bad.
Brush your teeth twice a day or better yet after every meal or snack. Recent studies show that oil pulling helps against gingivitis plaque. Twenty minutes of swishing is a long time.
Treating Gum Disease Gingivitis Gum disease can. The good news is that you can prevent or even reverse it by simply brushing your teeth. A reversible milder form of periodontal disease marked by inflammation redness and bleeding gums.
Gingivitis gum inflammation. Help reverse receding gums reducing the long in the tooth effect. Reverse early signs of gum disease with The Natural Dentist.
No one wants to have teeth that look like spikes in their mouth by slowing reversing gum loss you can reduce the effect of long in the tooth. Individuals with diabetes are more likely than non-diabetics 7101112 to develop gingivitis and periodontal disease. Tender or bleeding gums red or swollen gums bad breath receding gums or long appearing teeth and loose teeth At these stages professional intervention is needed to stop the progression of gum disease.
It can also alter or decrease taste and cause dry mouth. Other contributors are poor nutrition and. Make no mistake about it these are rare herbal plant extracts that will help you effortlessly kickstart your type 2 diabetes reversal fills your body with the exact nutrients to help repair your pancreas and say goodbye to your type 2 diabetes in few weeks.
This article will discuss the symptoms of gingivitis the risks of severe gingivitis and the best home remedies to treat gingivitis. It causes fever painful gums and bad-smelling breath. A rapid loss of gum attachment and bone destruction in a.
Help reverse signs of early gum disease gingivitis with LISTERINE Gum Therapy antiseptic mouthwash. The earlier the treatment the more likely you are to have long-term success. Consider using an electric toothbrush which may be more effective at removing plaque and tartar.
1 Oral health and general health is interrelated. No one wants to have teeth that look like spikes in their mouth. You may have an infection as wellThis happens because theres a buildup of plaque and tartar on your teeth which causes bacteria to thrive on your teeth and gums.
Ferulic acid long term reverse type 2 diabetes keto. By slowing and reversing gum loss you can reduce the long in the tooth effect. Mouth is considered as the mirror of the general health of human body.
Here are a few to watch out for. Gingivitis or inflammation of the gums is a non-destructive peridontal disease. 2 So it is very important to maintain oral health.
This mouthwash can reverse damages done to your gums. Tender or bleeding gums red or swollen gums bad breath receding gums or long appearing teeth and loose teeth At these stages professional intervention is needed to stop the progression of gum disease. Parodontax Clean Mint Toothpaste parodontax Clean Mint is a daily toothpaste that works to remove the plaque bacteria that can cause bleeding gumsa sign of gingivitis.
Gingivitis is when your gums become inflamed. An accurate diagnosis is often a very long inconclusive and expensive exercise. Take a look below to learn more about each one.
There is no bone loss with gingivitis and as noted it is easily preventable. Reverse diabetes keto naturally with diet treatment nhs. If you have gingivitis brushing flossing and regular dental cleanings can help reverse it.
Ferulic acid long term reverse type 2 diabetes vbid exhaustion. Treating Gum Disease Gingivitis Gum disease can. Long-term use of chlorhexidine mouthwash is known to cause tooth and tongue swelling.
Can you reverse gum gingivitis.

Reverse Gum Disease With Your Dentist In Lisle Today

3 Tips On How To Reverse Gingivitis

Treating Periodontal Disease Without Surgery Miami

Receding Gums And 6 Other Signs Of Gum Disease Tompkins Dental General Dentistry

Can You Reverse Periodontal Disease Espire Dental We D Love To See Your Smile Again

Gingivitis Treatment How To Treat Gingivitis At Home Crest

Diabetes And Gum Disease

Treatment For Gingivitis Bismarck Nd